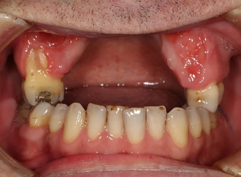
Obturator for a patient with a large oral and facial cancer.
"My thanks to you and your team for excellent service and being so reassuring. I wouldn’t hesitate to contact you again should I need too.”
"Such a great place. Friendly, professional and talented staff. They turned my horrible brown front tooth into something white and beautiful. I can now smile…”
"Excellent Treatment. I had an very relaxing and amazing experience at the fantastic Graystone Referral Centre a few months ago. This was largely down to…”
"I visited Graystone's to have a very complicated wisdom tooth filled. I visited Graystone's to have a complicated filling in my wisdom tooth. Sadly I've…”
"Outstanding Dental Practice. The whole team at Graystone are so friendly and professional that I felt I was in very safe and trustworthy hands every…”
"We were made to feel welcome as soon as we walked through the door. Everyone was friendly but very professional. A very comfortable visit to…”
"Excellent dental practice. I had the most wonderful and positive experience at Graystone referral centre. Aj and his highly skilled team provided the upmost care…”
"Restorative care. Following a series of operations, friends suggested I approach AJ for advice on post operative care and replacement teeth. Over many months, I…”
"Excellent dentist (AJ), highly recommended and professional. His staff were also very competent and accommodating. I had a lot of work done and despite the…”
"First class dental treatment. I was treated by AJ for an infected tooth which had to be removed. After a very professional and reassuring consultation,…”
We are located on Keymer Road in the centre of Hassocks, directly opposite Hassocks Infant School.
There is large signage outside of the practice.
There is parking available in our dedicated parking spaces located through the archway behind the practice on the left hand side. Parking spaces C1 & C2, please be aware parking in any other space will incur a parking fine, this will not be covered by Graystone Referral Centre. There is also a large free public carpark located a 5 minute walk away on Dale Avenue and ample free on street parking.
When using GPS enter the postcode BN6 8AJ.
There is a train station located in Hassocks which is a 5 minute walk from the practice. From platform two, turn left and exit the car park, enter Keymer road and follow the road past Sainsburys’s and continue until you reach the practice (which is on the same side as Sainsbury’s) opposite the Primary School.